Aneurisma aórtico
Un cordial saludo amigos. He vuelto con un post que les preparé sobre una patología que si no se diagnostica y es tratada a tiempo, cuando se presentan las complicaciones, poco más del 90% de los pacientes mueren.
Los aneurismas de la aorta torácica tienen una incidencia de 6-10 casos por cada 100.000 habitantes al año y afecta 2-4 veces más a los hombres que a las mujeres. Muchas veces el paciente se encuentra totalmente asintomático y se hace el diagnóstico durante la realización de un estudio de imagen por cualquier otro motivo.
Anatomía de la aorta

Imagen de Dominio Público CC-BY-SA-3.0. Autor: OpenStax College. Fuente
Antes de entrar en el tema vamos a revisar la anatomía de la aorta. La aorta es el vaso sanguíneo más importante del organismo y está dividida en dos segmentos principales:
Aorta proximal: inicia en la válvula aórtica y termina en el sitio donde comienza el tronco braquiocefálico, este segmento de la aorta incluye; la aorta ascendente, en la cual se encuentran los senos de Valsalva de donde se originan las arterias coronarias, y el cayado de la aorta del cual se originan las ramas braquiocefálicas.
Aorta distal: incluye la aorta torácica descendente y la aorta abdominal, inicia después del origen de la arteria subclavia izquierda y se extiende al hiato diafragmático donde se transforma en aorta abdominal. De este segmento de la aorta se originan múltiples ramas bronquiales, esofágicas y las arterias intercostales segmentarias.
A través de este vaso fluye gran cantidad de sangre a alta presión, por lo que cualquier alteración en la integridad de la aorta como disección aortica, rotura de aneurisma o algún traumatismo, genera consecuencias catastróficas.
Aneurisma aórtico
Entrando en tema, vamos a definir el aneurisma de la aorta como una dilatación local permanente, que provoca incremento de al menos 50% del diámetro normal en un punto determinado.

Imagen de Dominio Público CC-BY-SA-3.0 Autor: National Institutes of Health. Fuente
Los aneurismas pueden afectar un solo segmento o varios, por ejemplo, los aneurismas aorticas toracoabdominales que afectan tanto a la aorta torácica descendente como la aorta abdominal. Existen casos extremos donde se ve afectado este vaso en su totalidad, padecimiento que se conoce como megaaorta.
Los aneurismas torácicos pueden ser verdaderos o falso. Los verdaderos a su vez se dividen en:
- Fusiformes (más frecuentes), se describen como dilataciones simétricas.
- Saculares, estos son evaginaciones localizadas de la aorta.
Los aneurismas falsos (pseudoaneurismas) son fistulas en la pared que almacenan sangre en sacos que luego cicatrizan.
1. Etiología y patogenia
La resistencia y elasticidad de la aorta está dada gracias a la capa media, esta capa está formada principalmente por elastina, colágeno, musculo liso y matriz celular. La cantidad de elastina en la capa media es mayor en la porción ascendente y disminuye en sentido distal. El mantenimiento de la matriz está dado por complejas interacciones entre las células del musculo liso, macrófagos, proteasas e inhibidores de proteasa, cualquier desequilibrio que haya, resultara en un proceso patológico como la dilatación progresiva del vaso y la subsiguiente rotura.
Todo este fenómeno de dilatación de la pared de la aorta trae como consecuencia aumento de la tensión de la pared, esta afirmación se sustenta con la ley de Laplace que dice que: Tensión = Presión x Radio.
Se ha señalado la ateroesclerosis como factor predisponente en la formación de aneurismas; sin embargo, no se conoce el mecanismo por el que se produce este fenómeno, se dice que es un proceso que generalmente acompaña al aneurisma de la aorta torácica más que la causa de base.
El factor etiológico más frecuente en la formación de aneurisma en la aorta torácica es la degeneración inespecífica de la capa media de esta arteria, a medida que avanzamos en edad, se produce fragmentación de las fibras elásticas y pérdida de las células del músculo liso. Cuando este fenómeno se produce de forma acelerada y prematura, la capa media se debilita y se forman aneurismas que condicionan a rotura y/o disección. La causa de esta degeneración acelerada aun es desconocida.
- Disección aórtica
La disección aórtica ocurre generalmente por un desgarro en la pared interior de la aorta, lo que lleva a una separación de las láminas de la capa media, esto genera la formación de dos canales en la luz de la arteria y debilitamiento de la pared externa. Este fenómeno es la afectación catastrófica más frecuente de la aorta y una de las principales causas de la formación de aneurismas.
- Trastornos genéticos implicados en la formación de aneurismas:
Síndrome de Marfan:
Este síndrome es causado por una alteración autosómica dominante, se caracteriza por anomalía en el tejido conjuntivo que facilita la formación de aneurismas. Los sujetos que padecen este síndrome se caracterizan porque poseen gran talla, paladar ojival, alteraciones del cristalino, hipermovilidad articular, prolapso de la válvula mitral y aneurismas aórticos.
Los enfermos con el síndrome de Marfan padecen una mutación del gen de la fibrilina-1, la afectación de la fibrilina en la matriz extracelular, disminuye la resistencia del tejido conjuntivo de la pared de la aorta porque se fragmentan las fibras, esto ocasiona dilatación anómala durante la tensión que se ejerce sobre la pared cuando se realiza la sístole.
El 75-85% de los pacientes con síndrome de Marfan tienen dilatación de la aorta ascendente y ectasia del anillo aórtico. Las anomalías en la aorta es la causa más frecuente de mortalidad en estos pacientes que a menudo presentan disección aortica.
Síndrome de Ehlers-Danlos:
Aquí se encuentra una variedad de alteraciones hereditarias del tejido conjuntivo que afecta la síntesis de colágeno. El síndrome de Ehlers-Danlos tipo IV, se debe a una alteración en la síntesis de colágeno tipo III predisponiendo a eventos cardiovasculares que pueden ser catastróficos, como rotura arterial espontanea (frecuente en vasos mesentéricos), aneurismas y disecciones de la aorta torácica.
Síndrome de Loeys-Dietz:
Otro síndrome implicado en la formación de aneurismas es el síndrome de Loeys-Dietz, este es causado por mutaciones en los genes que codifican los receptores para TGF- β en lugar de la fibrilina-1. La triada que caracteriza este síndrome es: tortuosidad arterial y aneurismas, hipertelorismo (separación excesiva entre los ojos) y úvula bífida o paladar hendido.
Otro fenómeno que se ve involucrado en la formación de aneurismas de la aorta, son las infecciones, a este tipo de aneurismas se les denomina aneurismas micóticos; sin embargo, a pesar del nombre que reciben, la mayoría son causados por infecciones bacterianas. Los microorganismos implicados con mayor frecuencia son: Staphyloccocus aureus, S. epidermidis, Salmonella y Streptococcus. Los aneurismas causados por infecciones, generalmente no son primarios sino que vienen de otro origen, como en el caso de una endocarditis bacteriana.
2. Progresión del daño
Los aneurismas torácicos aumentan en tamaño de forma progresiva lo que aumenta el riesgo de mortalidad por rotura. Todo paciente debe recibir tratamiento quirúrgico excepto en los casos en que este contraindicado, en dichos casos se debe vigilar el aneurisma mientras no se produzcan síntomas y brindar tratamiento quirúrgico en una fase posterior si se presentas síntomas o complicaciones. Entre las opciones para el tratamiento médico, se encuentra el control meticuloso de la hipertensión arterial.
La historia natural de la enfermedad se caracteriza por dilatación progresiva y, a la larga, rotura y/o disección. Un estudio realizado determinó que la tasa de expansión en los aneurismas de la aorta ascendente fue de 0.07 cm por año, y de 0.19 cm en los aneurismas de la aorta descendente.
Los pacientes con síndrome de Marfan, tienen aneurismas que se dilatan con mayor rapidez y se rompen a diámetros menores, en comparación con las personas que no presentan dicho síndrome.
En cuanto a los tipos de aneurismas, los saculares, a menudo relacionados con infección aórtica, tienden a crecer con mayor rapidez que los aneurismas fusiformes.
3. Manifestaciones clínicas
En gran parte de los individuos con aneurismas de la aorta torácica, la lesión se descubre como un hallazgo al hacer un procedimiento de imagen en la búsqueda de otra patología, lo que quiere decir que muchos sujetos se encuentran asintomáticos en el momento del diagnóstico. Sin embargo, cuando la lesión ha progresado tanto, se van a presentar signos y síntomas de acuerdo al segmento de la aorta que se ve afectado. Entre las manifestaciones clínicas tenemos las siguientes:
- Compresión local y erosión: la expansión con la consecuente presión ejercida sobre las estructuras adyacentes generan dolor leve en forma crónica, este es el síntoma más frecuente en estos pacientes. El dolor generalmente se localiza en la región precordial, pudiendo irradiarse hacia el cuello y la mandíbula similar a una angina de pecho.
La expansión de la porción distal del cayado aórtico, estira el nervio laríngeo recurrente provocando parálisis de la cuerda vocal izquierda y enronquecimiento.
A nivel respiratorio se puede generar tos, sibilancias, estridor o neumonitis, causado por aneurismas en la aorta torácica que comprimen las vías respiratorias. Si hay erosión de las vías respiratorias se puede presentar hemoptisis, y la compresión y erosión del esófago causa disfagia y hematemesis.
Insuficiencia de la válvula aórtica: los aneurismas que se localizan en la parte proximal de la aorta, pueden causar desplazamiento de las comisuras valvulares aorticas y dilatación anular. Toda esta alteración genera insuficiencia valvular, como respuesta a la sobrecarga de volumen el corazón se dilata cada vez más y el paciente va a cursar con insuficiencia cardiaca congestiva.
Embolización a distancia: los aneurismas que se encuentran en la parte distal de la aorta, frecuentemente tienen placas de ateroma y trombos murales. Cuando se desprenden restos pueden causar embolización a distancia y dar origen a obstrucción y trombosis de las ramas viscerales, renales y de los miembros inferiores.
Rotura: cuando el aneurisma se rompe, el paciente refiere dolor en la parte anterior del tórax (aorta ascendente), la parte superior de la espalda o izquierda del tórax (aorta torácica descendente), o en el flanco izquierdo o el abdomen (aorta toracoabdominal). En el caso de las aneurismas de la aorta ascendente, cuando se rompen, pueden sangrar al especio pericárdico y ocasionar taponamiento cardiaco agudo y muerte.
4. Diagnóstico
Para el diagnóstico de este tipo de patologías, se requiere el uso de estudios de imagen que también ayudaran en la selección de las opciones terapéuticas.
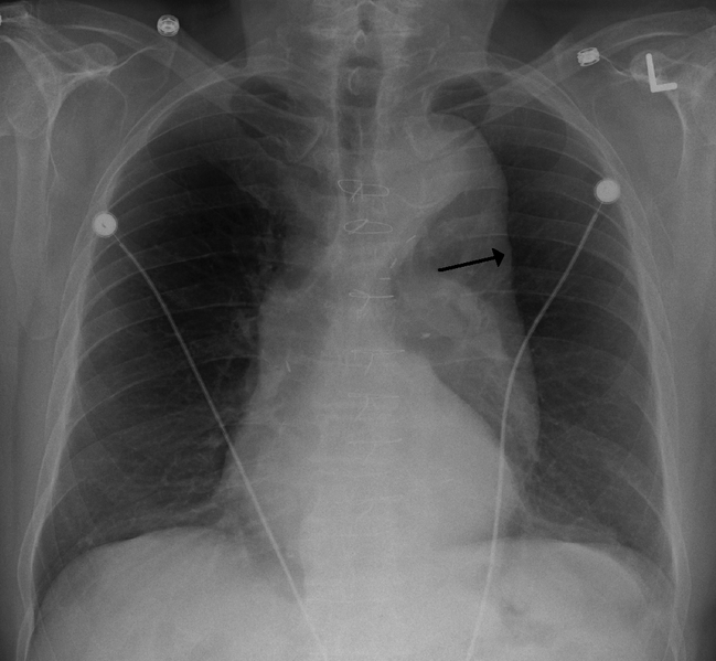
- Radiografías simples
Las radiografías simples de tórax, abdomen o columna vertebral, generalmente aportan suficiente información para establecer el diagnóstico inicial. Los aneurismas que se localizan en la aorta ascendente generan una sombra convexa del lado derecho de la silueta cardiaca, si hacemos una proyección lateral, se puede ver obliteración del espacio retroesternal en el caso de los aneurismas que se extienden en sentido anterior.
Imagen de Dominio Público CC-BY-SA-3.0. Autor: James Heilman, MD. Fuente
Luego que se ha logrado detectar un aneurisma con una radiografía simple, se debe realizar estudios adicionales para determinar la extensión de la lesión.
- Ecografía
Con respecto a la ecografía, es de utilidad la ecografía transabdominal para los aneurismas de la aorta abdominal distales a las arterias renales. Sin embargo, este procedimiento no permite visualizar la aorta torácica.
- Ecocardiografía
Los aneurismas de la aorta ascendente, es frecuente diagnosticarlos durante la exploración ecocardiográfica de pacientes con insuficiencia de la válvula mitral. Son de utilidad las dos modalidades, tanto el ecocardiograma transtorácico como el ecocardiograma transesofágico. Con esta técnica se puede visualizar la aorta ascendente incluyendo la raíz.
- Tomografía computarizada
Es la modalidad diagnostica más útil, con esta técnica se puede observar en su totalidad tanto la aorta torácica como la aorta abdominal. La tomografía computarizada además de establecer el diagnóstico, brinda información sobre la extensión de la lesión, anomalías anatómicas y relación del aneurisma con ramas vasculares importantes.
La tomografía computarizada con contraste, aporta información de la luz del vaso y detecta trombos murales y disección aortica.
Imagen de Dominio Público CC-BY-SA-3.0. Autor: Glitzy queen00. Fuente
5. Tratamiento
El tratamiento inicial para pacientes que se encuentran asintomáticos es: control intensivo de la presión arterial y realizar tomografías de vigilancia. El tratamiento definitivo de la enfermedad es la cirugía, con el fin de prevenir la rotura que trae como consecuencia desenlace fatal.
Cuando aparecen síntomas o el aneurisma ha crecido hasta cumplir ciertos criterios, los pacientes pasan a ser candidatos para la intervención quirúrgica. Los criterios para la intervención quirúrgica electiva son:
Tamaño: cuando el diámetro del aneurisma aórtico proximal es mayor de 5.5 cm, o cuando el diámetro del aneurisma aórtico distal es mayor de 6.5 cm.
Velocidad de dilatación: si la velocidad de dilatación es mayor de 1 cm por año.
Las personas que padezcan de trastornos del tejido conjuntivo, como el síndrome de Marfan y el síndrome de Loeys-Dietz, son candidatos a cirugía a tamaños menores del aneurisma (5.0 cm para la aorta ascendente y 6.0 cm para la aorta descendente) y también a velocidad de crecimiento menor. Como ya les había mencionado, en los pacientes con síndrome de Marfan los aneurismas se dilatan con mayor rapidez y se rompen a diámetros más pequeños.
Cuando la lesión se acompañe de insuficiencia valvular aortica, en caso de los aneurismas de la aorta proximal.
Aparición de dolor nuevo que no estaba presente en individuos que se mantenían de forma asintomática. El dolor podría ser indicativo de expansión significativa, fístula o rotura inminente.
Debido a que en las intervenciones de carácter urgente, el pronóstico es desfavorable en comparación con los procedimientos electivos, la intervención de urgencia se reserva para los casos de rotura o disección aguda.
Para la reparación quirúrgica de la lesión se cuenta con dos opciones, en el caso de los aneurismas en la aorta proximal y a nivel toracoabdominal se utilizan los procedimientos abiertos, y para los aneurismas en la porción distal de la aorta, se tiene como alternativa la colocación de una prótesis intravascular.
Discusión
Los aneurismas de la aorta se presentan con una incidencia de 6-10 casos por cada 100.000 habitantes, se definen como una dilatación arterial causada por debilidad de su pared, para hablar verdaderamente de un aneurisma, la dilatación debe de ser mayor del 50% del diámetro del vaso. Esta patología muchas veces se presenta de manera asintomática y el diagnóstico se puede obtener como hallazgo al hacer un estudio de imagen para buscar otras patologías.
A medida que avanzamos en edad, se produce fragmentación de las fibras elásticas y pérdida del músculo liso (principales componentes de la capa media de las arterias), cuando este deterioro sucede de manera apresurada se debilita la pared del vaso lo que da origen a dilatación progresiva y formación de aneurismas.
Es importante el control estricto de la presión arterial en estos pacientes y tener hábitos de vida saludables para prevenir la ateroesclerosis, que es una patología que se asocia a la formación de aneurismas.
El tratamiento definitivo de la enfermedad es quirúrgico, puede ser por cirugía abierta para sustituir el segmento de la arteria afectado, o a través de la colocación de una prótesis de manera intravascular. Una vez que se tiene el diagnóstico de la enfermedad, es necesario realizar estudios de imagen de manera periódica para valorar la progresión de la enfermedad mientras se planea la intervención quirúrgica.
Referencias
- F. Charles Brunicardi, et al. Shwuartz, Principios de cirugía. 9th. México: McGraw Hill; 2011.

Saludos @carlsuarez te recomiendo leer los criterios de STEM-Espanol en los reportes semanales. A veces la recopilación de contenido de internet puede ocasionar serios problemas como incurrir en plagio. Entiendo que la información suministrada en gran parte es del libro que mencionas en las referencias, pero sería importante proporcionar otras fuentes alternativas. También es recomendable que al momento de compartir alguna recopilación teórica puedas aportar análisis o resúmenes hechos por ti o algún aporte significativo desde tu propia perspectiva.
Congratulations @carlsuarez! You received a personal award!
You can view your badges on your Steem Board and compare to others on the Steem Ranking
Vote for @Steemitboard as a witness to get one more award and increased upvotes!