"앞니가 깨졌어요" - 부러진 앞니에 대한 고찰
섹시한 Queen 의 프레디 머큐리의 매력 포인트라면 '돌출' 앞니라 하겠다.
오늘은 앞니에 대한 이야기가 하고 싶다.
부러진 앞니는 애증의 관계다.
나는 8살때 넘어지며 앞니가 깨진 적이 있다.
깨진 앞니보다
밤새도록 속상해 하시는 어머니를 보며
미안해 하던 죄책감의 고통이 몇백배 더 컸던 기억이 든다.
그날 밤의 깨진앞니의 비극이 아직도 생생하다.
다행히 그 때 부러져 '떼운' 앞니를
지금 까지 잘 쓰고 있다.
다 커서 아가씨가 되면 이쁘게 다시 하라던
서울대학교치과병원 소아치과 레지던트 선생님이 참 고맙다.
그러고 보니.
앞니는 깨지려고 있는 것 같다.
넘어져서, 숟가락에, 노래방 마이크에, 술잔에, 축구골대에, 피아노 의자 다리 등.
세상에 존재하는 모든 정물에
갖은 이유로 앞니가 깨진 환자들이 있다.
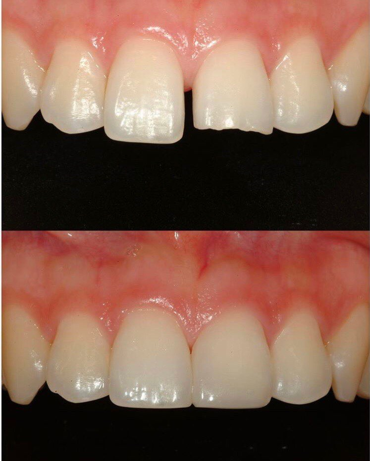
오늘은 자랑스러운 대한민국 육군 군인 아저씨 동생이
훈련 중 앞니가 깨져서 오셨다. 복귀까지 빠듯한 시간 때문에
온 신경을 집중해서 정성스럽게 앞니를 치료해 드렸다.

(사진은. 내 작품이면 좋겠지만. 나의 롤모델
우리나라에서 가장 멋진 전치부 심미레진 치료를 해주시는
스승님의 치료 사진이다.)
우리가 통상 앞니라고 하면
가장 큰 대문니-그옆니 그리고 때로 송곳니 까지 포함한다.
그렇게 좌-우 + 윗니/아랫니로 세트가 있다.
거울을 들고 보자.
위/아래 각각
송곳니를 제외하고 4전치라고하고
송곳니를 포함하면 6전치라고 한다.
간혹, 유전적으로 아래 앞니가 하나 엎는 경우가 있는데, 그럴 경우 3전치 라고 한다.
본인이 3전치라고 해서 걱절할 필요는 없다.
살아가는데 큰 문제는 없다.
뼈가 얉은 사람들이 이런 경우가 있는 듯 하다.
대부분 깨짐을 당하는 이는, 가장 맨앞에 커다란 대문이 인데
앞니 (전치) 가 유독 중요하고 대접받아야 하는 이유는
Smile line - 즉, 미소 지을때 가장 프론트 라인에서 미적 요소를 담당하기 때문이다.
영구의 트레이드 마크가 김으로 가린 앞니란 걸 생각해보면.
Lil wayne 의 트레이드 마크가 번쩍거리는 다이아몬드 앞니 라는걸 생각해보면.
앞니는 그야말로 이미지와 패션의 완성이다.
보철물 경계면이 까맣게 보이거나
다른 치아와 조화롭지 못한 앞니는
자신감을 떨어뜨리거나, 거슬 릴 수 있다.
앞니의 유무/ 형태/ 색상만으로
그 사람의 많은 이미지가 좌우 될 수 있다.
이렇게 중요한 앞니 깨졌을때 치료방법은 무엇이 있을까?
당연히 깨진 범위와 평소 교합된 습관에 따라 나뉘게 도니다.
- 깨진 부분을 레진으로 복구한다.
- 깨진 부분을 보강하고 크라운으로 씌워서 복구한다.
그리고 깨진 부분이 신경에 자극을 주었거나 신경까지 노출 되었다면
신경치료는 불가피 하다.
당연히 2번이 1번 보다 비싸다.
하지만 2번이 1번 보다 Longevity (장기적 지속력) 이 높고, 심미적 만족도도 좋을 수 있다.
1번은 당일날 가능 하고, 비용이 상대적으로 저렴 하며,
이를 적게 깎는 다는 장점이 있는 반면
레진의 특성상 탈락 가능성이 생길 수 있고, 접착 등 술자의 테크닉이 중요하며
이후 변색, 탈락등이 올 수 있기 때문에
본인이 레진으로 때울 있는 교합과 상황인지
충분한 상의 후 결정 하는 것이 좋다.
외상을 겪은 치아는
장기간에 걸쳐 서서히 변색 되는 경우도 있으므로,
지금 레진으로 떼워서 만족 스럽더라도
이 후 색이 변색되어
신경치료 후 Walking-Bleaching 이라는 미백시술을 받아야 하는 경우도 있다.
오늘 이야기는 영구치 이야기다.
젖니 (유치) 가 깨진 경우라면
성장시기를 보고 곧 빠질지 아닌지 확인 한 후 치료계획을 세우게 된다.
한번 깨진 곳은
더 깨질 수 있는 위험이 있다.
깨진 이는 겉만 보면 안되고 반드시 X-ray 로 외상의 충격이
뿌리와 주변 인대에 영향을 주지는 않았는지 확인해야 한다.
이가 깨졌다면 지체하지 말고 치과에 내원하자.


✅ Enjoy the vote! For more amazing content, please follow @themadcurator for a chance to receive more free votes!
짱짱맨 호출에 응답하였습니다.
저도 예전에 군대에서 단것을 많이먹어서 앞이빨이 썩었더라고요..
휴가나와서 알아차렸고.. 근처 병원에서 앞이빨에 난 충치를 도려낸뒤 레진으로 떼운 경험이 있습니다.. 근대 다른 치아보다 앞이빨은 이상하게 치료할때 더 아프더라고요...
앞이빨 이야기가 나와서 갑자기 생각이 났습니다. ㅎㅎ
Congratulations @dentalbliss! You received a personal award!
Click here to view your Board
Congratulations @dentalbliss! You received a personal award!
You can view your badges on your Steem Board and compare to others on the Steem Ranking
Vote for @Steemitboard as a witness to get one more award and increased upvotes!