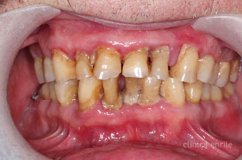
Periodontitis

¿Sabes que es el periodonto?
Encía: es un tejido llamado también mucosa y puede estar dividida en tres partes, mucosa masticatoria, mucosa especializada y la mucosa de revestimiento. Presenta las siguientes características a tomar en cuenta para su estudio y diagnostico; color, contorno textura y surco.
Cemento Radicular: este tejido es muy delgado y recubre la superficie de la raíz, siendo mas grueso en la región apical de la raíz no presenta inervación ni vascularidad.
Ligamento Periodontal: es un tejido conectivo formado por fibras de colágeno que rodea la raíz y la une al hueso por lo que mantiene el diente en su alvéolo, también amortiguan el impacto masticatorio dándole una ligereza movilidad a los dientes durante la masticación. Contiene una matriz que cubren los espacios entre las fibras y las células. Los componentes principales son glucosaminoglucanos, como el ácido hialurónico, proteoglucanos; y glucoproteínas como fibronectina y lamininas, su contenido de agua de un 70% en todo lo que corresponde a este tejido. La función primordial de este tejido es: Formativa, Restaurativas, Físicas, nutricional, sensitivas.
Hueso Alveolar: es la parte del hueso en forma de cavidades estrechas donde contiene las raíces de los dientes, puede estar formado por un hueso compacto que por lo general es muy denso y solido; hueso trabeculado que por su similitud arquitectónica a una esponja se le asocia así.
La Periodontitis

Clasificación
Periodontitis aguda en el adulto, presenta características de estado inicial donde no presenta perdida de tejido alveolar o de ligamentos.
Periodontitis crónica, en esta etapa de la enfermedad ya presenta características notorias con la perdida del tejido de soporte, logrando clasificar el grado de movilidad dental que presente el diente.
Periodontitis agravada por factores sistémicos, esta estrictamente relacionado por algún tipo de enfermedad como la diabetes mellitus, la enfermedad de Addison, la enfermedad de Crohn, enfermedades hematológicas, el SIDA, enfermedades hormonales y algún tipo de síndrome como el de Ehlers-Danlos.

Tratamiento
Mecánico: procedimientos que involucra la higiene de la persona y procedimientos realizados por el profesional odontológico.
Antibióticos: suele utilizarse en etapas de la enfermedad muy avanzadas donde el profesional considere adecuado, siendo un tratamiento de apoyo a los procedimientos mecánicos en el consultorio. Se aconseja tener una prueba de cultivo bacteriano y antibiograma.
Químicos: algunos enjuagues especializados de uso antisépticos están indicados para la terapia ayudando y complementando la terapia mecánica.
Quirúrgico: son procedimientos donde la perdida osea a sido de tal magnitud que se generan bolsas o depósitos de tejidos blandos, se indica la cirugía para remover todo el contenido dañino y recrear una regeneración tisular guiada, por membranas o injertos de tejido afectado.


Referencias Textuales y Apoyo del Internet:
- Grant, Daniel A. Stern, Irving B. Everett, Frank G. Periodoncia de Orban, teoría y práctica. (2da edición). México, D.F: 1980
- Lindhe, Jan 2001. Periodontología clínica. Tercera edición. Madrid España: Médica Panamericana. (pp 19 – 60)
- Nisengard RJ, Newman MG. Oral microbiology and immunology. Philadelphia: W.B. Saunders Company; 1994: 297
- Lyons, T., Sholten, T., Palmer, J. C., Stanfield, E. Oral amebiasis: the role of Entamoeba gingivalis in periodontal disease. Quintessence Int. 1983 Dec;14(12)
- Wikipedia
- Medlineplus.gov/spanish

Muy interesante tu exposición dental. tengo una sobrina que es dentista. Te invito a ver mi nuevo post es sobre una especial forma de arte que elaboramos aquí en Samarkanda.
Congratulations @xjma! You received a personal award!
You can view your badges on your Steem Board and compare to others on the Steem Ranking
Vote for @Steemitboard as a witness to get one more award and increased upvotes!
I suggest you check out http://www.healingteethnaturally.com regarding periodentitis! :-)