응급실 에세이 7. 난 뭐하는 사람일까
오늘은 진료가 끝나고 몹시 기분이 개운치 않았다. 주변의 사람들은 내가 대학병원의 응급실에서 전문의로 일하고 있다고 말하면 한결같이 생명을 살리는 최전선에서 일하니 보람이 있겠다라고 말한다.
음...... 정확히 말하면 20%는 맞고 80%는 틀린 말인 것 같다. 무엇이 틀린 말이고 왜 오늘 나의 기분이 좋지 않은 지 알아보도록 하자. 그리고 이 글을 읽는 스티미언도 함께 고민해 보았으면 좋겠다. 무엇이 옳은 사회의 모습인지.
오늘 공유하는 환자들은 모두 우리 병원에 처음 온 신환들이다. 의료인들끼리는 은어로 쌩신이라고 부른다. (쌩신 -> 쌩 신환 -> 완전 신환 -> 이 병원에 처음 방문한 환자)
#. 33세 여성
이 분은 머나먼 전라남도의 대학병원에 입원해 있다가 연락도 없이 응급실로 내원하였다. 사연인 즉슨 5월 초부터 배가 아파서 인근 대학병원에서 검사했더니 난소에 염증이 있다고 듣고 입원해서 항생제 치료를 하다가 호전이 없어서 시행한 CT 상에서 난소에 악성종양이 의심된다는 소견을 들었고 이로 인해 장이 막혀서 장을 배 밖으로 연결하여 일시적으로 장이 막힌 것을 해소하는 수술 (의학 용어로 Colostomy라고 함) 을 받았다. 당시 수술하면서 시행한 복강 내 세포 검사에서는 metastatic adenocarcinoma (전이성 선암) 이 확인되어 환자 및 보호자가 정확한 진단명과 입원 치료를 원하여 머나먼 서울의 병원까지 내원하게 되었다.
일단 환자의 의학적 상태에 대해서 알아보자. 다음은 환자가 시행한 외부 병원의 CT 이다.
우선 배 안에 복수가 찬 것이 보인다. 간과 뼈 사이에 물이 차 있는 것을 확인할 수 있다.
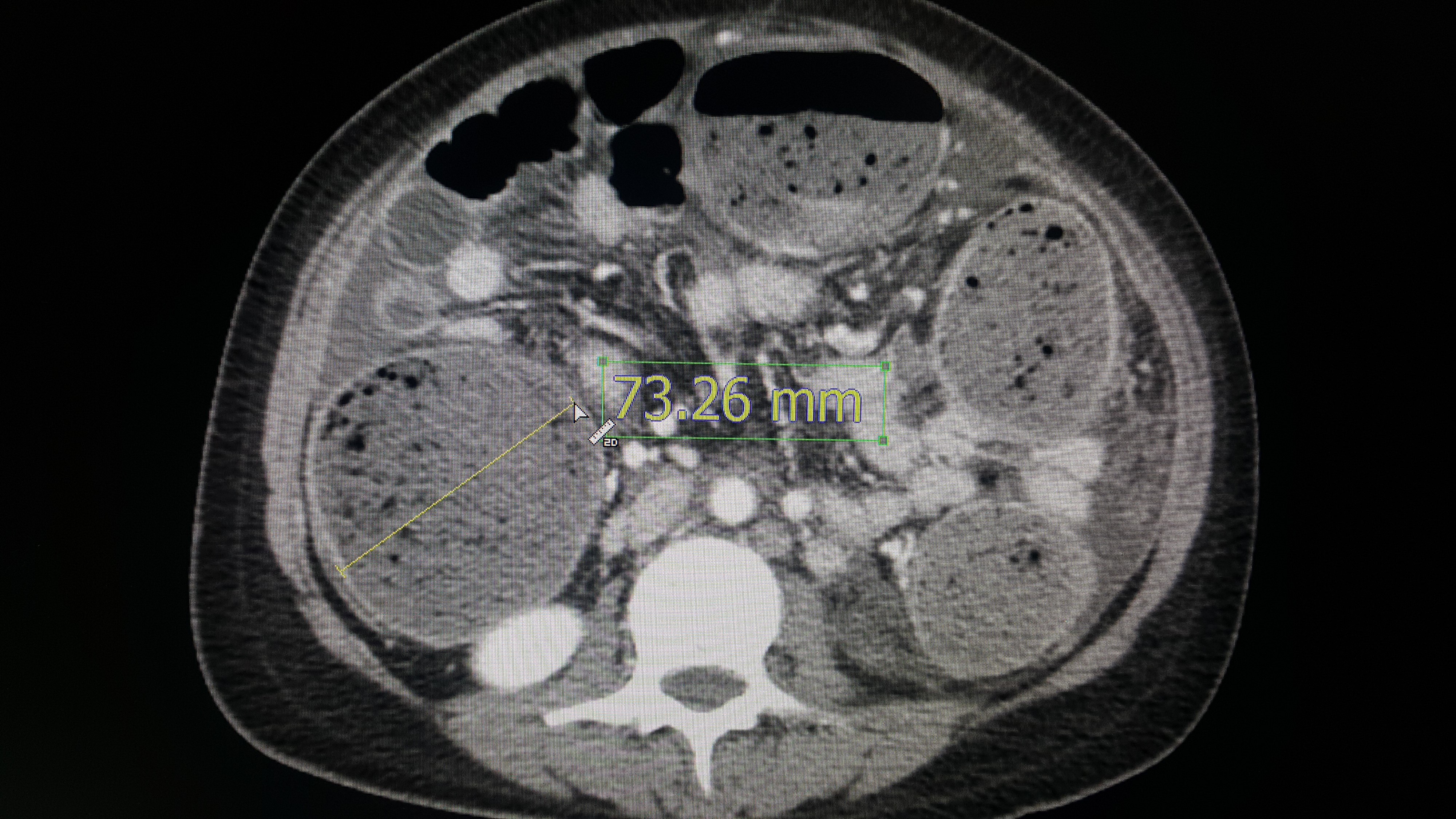
우후~~~~!!! 화살표로 크기를 측정한 부위는 대장이다. 대장 안에는 대변이 들어있는 것은 일반적으로 알고 있는 의학 상식일 것이다. 그런데 대장이 막혀서 늘어나있다. 그리고 그 크기가 무려 7cm 을 넘는다. 여러분은 직경 7cm 를 넘는 대변을 본 적이 있는가 ?? 그랬다면 아마 항문이 찢어져서 피가 났을 것이다. 하지만 이 환자는 막힌 대장으로 인해 대장이 저 정도로 늘어나있다. 얼른 막힌 대장을 뚫던지 임시로 대변이 나올 길을 만들어주지 않는다면 대장이 터져서 배 안이 대변으로 가득차는 위험한 상황이 생길 수 있다. 그래서 다른 병원에서도 급히 colostomy 라 불리는 대장을 배 밖으로 임시로 꺼내는 수술을 했을 것이다.
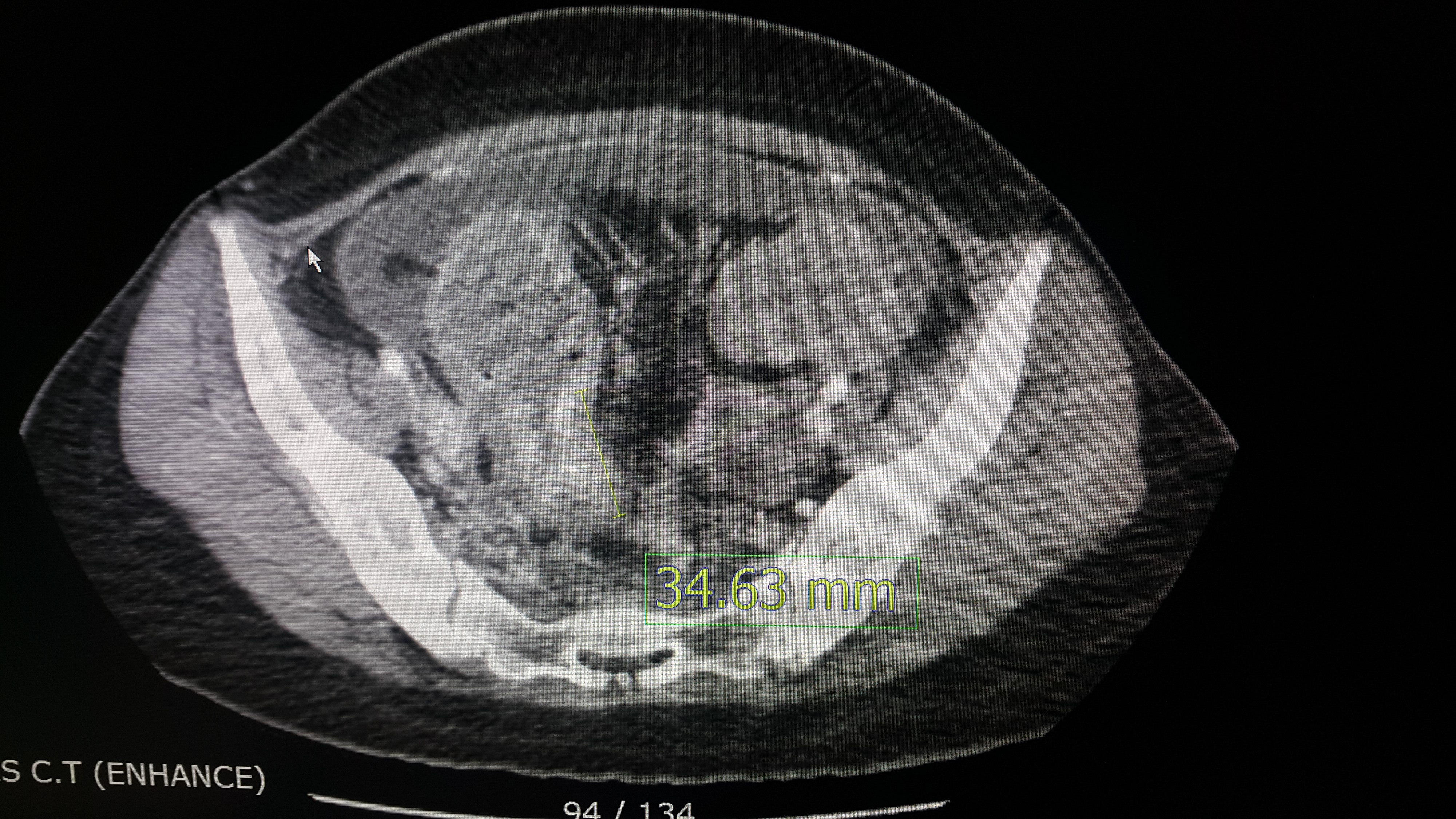
하지만 문제는 왜 대장이 막혔냐는 것이다. 다음 사진을 한 번 보자.
이것은 영상의학과에서 확인한 병변이다. (사실 나는 CT 를 봐도 어디가 병변인지 모르겠다. 역시 전문가는 다르다 ㅎㅎ) 저곳이 대장을 막고 있는 범인으로 추정된다. 하지만 여기서 문제가 되는 것은 저 병변이 (암인 것은 충분히 의심할 수 있는데) 어느 조직에서 유래한 암이냐가 치료의 방향을 결정하는 중요한 문제다. 하지만 안타깝게 CT 로는 진단이 어렵고 확진을 내리려면 조직검사를 해야하는 상황이다.
환자는 이런 상황에서 우리 병원으로 내원을 하였다. 그것도 응급실로......
환자와 보호자의 심정은 충분히 이해가 간다. 일단 수술로 급한 불은 끄긴 했지만 아직 진단명도 모르고 불안할 것이다. 하지만 환자가 불안하다고 병원에 찾아오면 모두 입원해서 검사를 할 수 있는 게 아닌 것이 문제이다.
이 환자는 원발병소가 난소인지 대장인지 명확하지 않아 영상의학과, 산부인과, 외과와 상의했으며 일단 대장암 같아 보인다는 결론에 다다랐다. 하지만 또 문제는 대장암의 첫 진단인 경우는 소화기내과에서 진단적 검사를 해야 하며 대장암이 확진이 되어야 혈액종양내과로 전과를 하여 항암치료를 시작하게 된다.
결국 환자는 급한 마음에 응급실로 내원을 하였지만 소화기내과 외래를 예약하여 외래에서 진단적 검사를 시행하기로 하고 퇴원을 하게 되었다. 사실 암이라는 진단 자체가 응급실에서 급하게 치료를 해야할 급성기 질병은 아니기에 의학적으로는 전혀 문제가 없지만 질병을 진단받은 환자 입장에서는 빨리 해결하고 싶어서 응급실에 왔는데 다시 외래로 가라고 하니 만족스럽지 않을 것이다.
#. 34세 여성
이 환자는 그래도 서울의 다른 대학병원에 있다가 왔다. 이 환자도 며칠전부터 배가 아파서 인근 의원에서 초음파 검사를 했더니 간에 문제가 있다며 큰 병원에 가라고 해서 다른 대학병원에 입원해서 검사를 했더니 간에 종양이 발견되었고 조직검사를 했더니 유방암이 간에 전이된 것이 밝혀졌다. 역시 환자와 보호자가 급한 마음에 이 병원 응급실로 내원하였다.
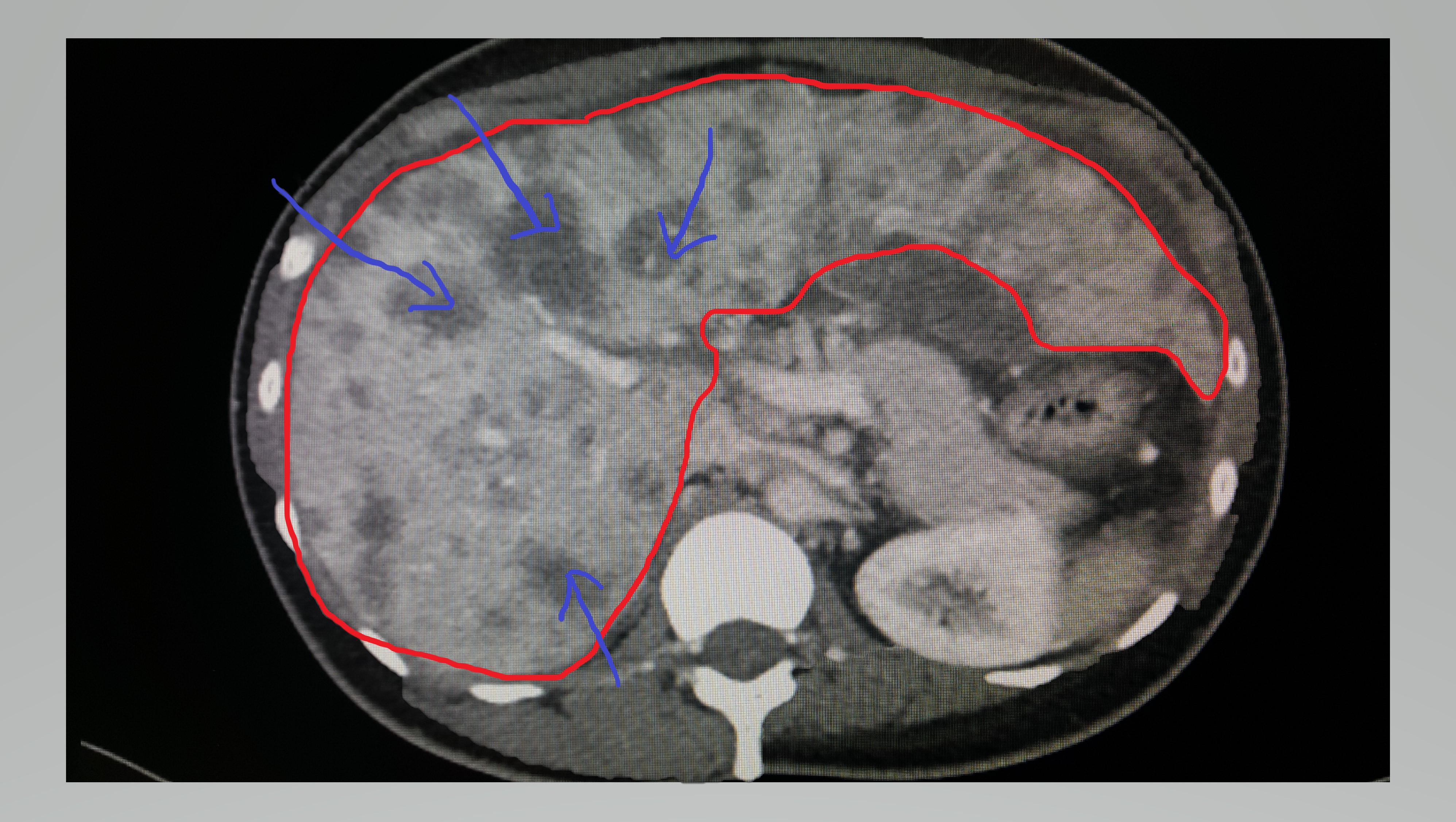
빨간색 테두리가 간이다. 파란색 화살표가 전이된 암이다. 간에 빼곡하게 전이된 암이 보인다.
피검사에서 시행한 환자의 간수치이다. 간이 손상되어 간수치가 전반적으로 상승해 있는 것을 알 수 있다. (이 병원에서는 검사가 정상수치보다 높으면 노란색, 낮으면 하늘색으로 표시된다.)
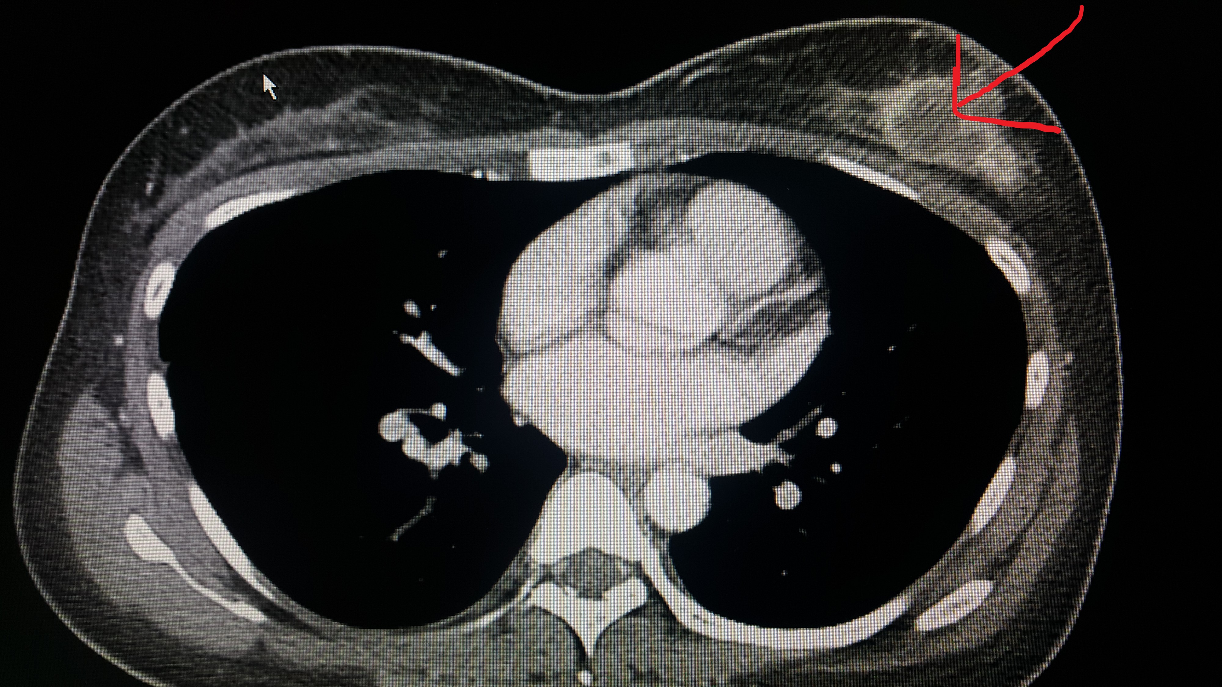
원발성 병소인 유방암이다. 환자의 좌측 유방에서 병변을 확인할 수 있다. 유방에서 생긴 암이 증식에 증식을 거듭하여 다른 장기인 간에까지 옮겨간 것이다.
이 환자도 결국 혈액종양내과 외래에서 추가적인 검사를 하기 위해 외래 예약을 하고 퇴원하였다. 하지만 이 환자는 과연 올해를 넘길 수 있을지 걱정이 된다.
이 병원은 이렇게 전국에서 각종 암, 난치병, 희귀병을 진단받은 환자들이 불안한 마음에 내원하여 항상 문전성시를 이룬다. 문제는 물리적으로 입원할 수 있는 병실은 숫자가 정해져 있는데 그 이상으로 환자가 내원하는 경우이다.
강남에 있는 맛집에 예약없이 갔는데 사람들이 문 밖에까지 긴 줄을 서있다. 누구나 그렇다면 기다려서 내 차례가 되었을 때 먹거나 줄 서서 기다리는 것이 싫으면 다른 가게로 가는 것이 이상하다는 생각을 하지 않을 것이다. 그런데 이런 간단한 상식이 응급실에는 통하지 않는다.
나는 중병을 진단받아 맛병원 (?) 에 입원할 수 있는 가장 빠른 루트인 응급실에 찾아왔는데 줄이 무척이나 길다. (실제로 가끔은 119가 응급실에 들어오기 위해 5대 정도 순서를 기다리는 장면도 볼 수 있다. -_-;;;;;;;;;) 그러면 사람들은 여기서 왜 맛병원에 들어가지 못하냐면서 (=입원이 안 되냐면서) 항의를 한다.
여기서부터가 내가 이 병원에서 맡은 역할을 다할 때이다. 나는 환자들에게 병원에 찾아준 것은 고맙지만 일단 병실이 없어서 입원은 어렵다는 말부터 꺼낸다. 왜냐하면 입원이 안 된다고 했다가 입원이 되면 모두 고마워하지만 입원이 된다고 했다가 병실이 없어서 입원이 안 되면 온갖 쌍욕을 먹기 때문이다. 그래서 방어적인 말로 시작을 해야만 한다. (실제로 병실이 없기도 하다.)
가끔 나의 정체성에 혼란이 오기도 한다. 환자를 잘 치료해주기 위해 최선을 다하는 의사인가 아니면 환자를 내쫓기 위해 고용된 용역업체 직원인가. 개인적인 견해로는 후자에 가까운 것 같다. 입원시키는 비율보다 입원이 안 되니 다른 병원가라고 내쫓는 비율이 20 대 80 정도 되는 것 같다.
그렇다고 응급실에 있는 환자를 입원시키기 위해 입원해 있는 환자를 강제로 퇴원시킬수도 없지 않은가.
입원을 원하지만 입원 못하고 돌아가는 환자, 병원을 찾아온그들을 병실이 없다고 내쫓아야만 하는 나. 내 생각에는 시스템의 문제로 다가오지만 의료시스템을 큰 그림으로 이해하지 못 하는 환자들은 항상 나를 비난한다. 병원에서 매몰차게 아픈 환자를 내쫓는 나쁜 놈의 의사라고.
이런 비난에 익숙해져버린 것이 슬프기도 하지만 오늘은 이런 환자가 진료 중 7명이나 오니 근무가 끝나고 진이 다 빠져버렸다. 그들에게 받은 비난만큼 일도 재미가 없고 회의감이 든다.
어디서부터 잘못된 것일까 ?? 과연 나만 나쁜 의사인가 ??
결국은 한정된 자원의 문제로 회귀되는 문제이다. 한정된 의료자원을 어디에 어떻게 분배하고 어떤 중증도의 환자가 우선적으로 자원을 가져갈 것인가.
이것에 대한 사회적 합의 없이는 전쟁터처럼 반복되는 아수라장 응급실은 매일매일 반복될 것이다. 그리고 그 안에서는 의사도 환자도 행복하지 못할 것이다.








환자를 알아가네요. 좋은 글이네요. 살며시 누르고 갑니다.~
감사합니다^^
응급실의 사회적 역할에 대해 사회적 공감대가 형성되기를 바랍니다.
맞습니다. 좋은 글입니다. 응급실이 과연 우리에게 어떻게 받아들여 지고 있나 곰곰히 생각해볼 필요가 있네요
고생 많으시네요 힘내세요 화이팅
댓글보고 힘이 나네요ㅎ 감사합니다^^
계속 보다가 처음 댓글을 답니다. 아마 그 분들도 답답한 마음에 그럴꺼라는것도 충분히 잘 아실꺼라고 생각합니다. 맛집 정도의 문제가 아니라... 생명이 달린 문제이니.. 다른 맛집에 갈 상황이 아닌게죠....
조금이라도 나은 의사분들과 시설이 있는 곳에서 치료 받고 싶은데... 정작 현실은 그렇지 못하죠.. 입시랑 비슷한걸까요? 전 병원은 접근이 편한곳에서 다녀야 한다고 생각하는데.. 최근 골절로 두번 입원했는데.(평생 처음입니다. ㅋㅋ) 가까운곳이 여러모로 좋더군요....
그래도.. 혹 암이라면... 저도 어떤 연줄을 써서라도 좋은 맛집을 찾으려고 할거 같네요...
불철주야 고생많으십니다. 좋은 포스팅 꾸준히 보고 있습니다.
감사합니다.
네ㅡ저도 가족 중에 암환자가 있어서 내원하는 환자들의 심정이 충분히 이해됩니다.
예전 메르스 사태도 본질적인 문제는 안전불감증에서 시작했듯이 의료인이 처리가능한 환자수를 넘어서는 환자가 오게 되면 새로운 환자 진료도 늦어지고 이미 있던 환자 파악도 못 하게되어 환자의 안전이 담보되지 못합니다.
사회의 공급 가능한 보유 자원으로 처리하지 못하는 사건이 발생하는 것을 재난이라고 부릅니다.
메르스나 세월호는 사회적으로 이슈가 되었던 큰 재난이었지만 응급실 (모든 응급실이 그런것은 아닙니다. 흔히 얘기하는 5개 대학병원의 응급실 대상입니다) 에서는 하루에도 여러번씩 재난상황이 발생하고 있습니다.
환자들이 안전하다고 믿고 찾아오는 병원에서 오히려 안전을 담보해드리지 못하는 아이러니가 발생하는 게 저도 답답합니다ㅠ
고생하십니다.
가장 힘들곳중에 한곳이라고 하는데 그만큼 보람되기도 하겠죠
잘봤습니다
감사합니다ㅡ환자들에게 최선을 다하는 의사가 되고자 노력 중입니다^^