HISTOLOGIA
Hola muy buenos días, tardes o noche espero se encuentren muy bien, soy un estudiante y futuro Medico a su servicio, normalmente subiré Post con todo lo que tiene que ver en Medicina como este que les presentare a continuación, espero sea de su mayor agrado, de ser así, me ayudarían mucho al compartirlo no solo a mi también a ustedes, saben que no esta mal aprender algo nuevo cada día, también estarían aportando con otros futuros Médicos y personas metidas en este medio, sin mas que decir Comencemos.
LA CÉLULA:
La Célula es la unidad básica del cuerpo humano, todo nuestro cuerpo está compuesto de ellas, El componente vivo de la célula es el Protoplasma este se divide en Citoplasma y Nucleopasma, todo esto dentro de la misma célula.
EL NUCLEOPLASMA: Este se encuentra dentro del Núcleo, en esta sustancia se encuentra inmerso en ADN (Ácido Desoxirribonucleico) y las demás estructuras nucleares como los Nucléolos.
EL CITOPLASMA: Es el que se encuentra entre la membrana plasmática y el núcleo celular en él se encuentran los Orgánulos, ya hablaremos de ellos más adelante.
LAS FORMAS CELULARES:
Existen: Cúbicas, Planas, Cilíndricas, Estrelladas y Fusiformes.
-CÉLULAS CUBICAS: Siempre adoptaran la forma de un cubo poligonal, todas ellas poseen varias caras con un perfil cuadrado, y sus lados son de una misma longitud, su núcleo puede encontrarse tanto en la base de la célula como en su centro y normalmente es esférico.
- CÉLULAS PLANAS: Estas se localizan más que todo en la superficie de epitelios estratificados planos como por ejemplo la epidermis el tracto digestivo, el sistema supradiafragmático o la vagina, su núcleo tiene un aspecto Lenticular que sobresale hacia la superficie de la célula.
-CÉLULAS CILÍNDRICAS: tienen diámetros diferentes, son células altas que vista desde frente poseen un diámetro longitudinal mayor que el transversal, su núcleo es Ovalado y se encuentra en el polo basal de la célula, estas las solemos encontrar en el tracto digestivo en el Útero y las trompas de Falopio.
-CÉLULAS ESTRELLADAS: Su núcleo es Esférico y muy Voluminoso que presenta un Nucléolo prominente, las podemos encontraren las Neuronas y los ganglios linfáticos.
-CÉLULAS FUSIFORMES: tienen una forma que es a sus extremos son afiladas y en el centro son más Ovaladas su núcleo está en la parte central, se encuentran en los fibrocitos del tejido conectivo y las fibrocelulas musculares lisas.
PROPIEDADES Y CARACTERÍSTICAS FISIOLÓGICAS DE LA CÉLULA:
-Irritabilidad: Es sensible a estímulos respondiendo a los físicos y químicos.
-Conductividad: Se define cuando se transmite la respuesta a la célula vecina.
-Contractibilidad: Se acorta cuando se estimula.
-Absorción: Toma nutrientes.
-Asimilación: Capacidad de asimilar los nutrientes.
-Excreción: Capacidad de eliminar productos tóxicos.
-Secreción: Capacidad de eliminar sustancias que pueden ser utilizadas por ellas y por otras células.
-Endocitosis: Transporte de partículas del medio externo hacia el medio interno.
-Exocitosis: Es la liberación del contenido celular al medio externo.
-Pinocitocis: Cuando se encapsulan los líquidos.
-Fagocitosis: Cuando se encapsulan los sólidos.
-Respiración: Toma oxígeno y los convierte en ATP.
-Hipertrofia: Aumento del tamaño celular.
-Hiperplasia: Aumento del número celular.
-Reproducción: Capacidad de multiplicarse.
-Motilidad: Capacidad de desplazamiento ameboidea-quimiotactico-flagelación.
LA MEMBRANA PLASMÁTICA:
Es una bicapa lipídica que se encarga de mantener un equilibrio entre el interior de la Célula con su exterior.
SUS FUNCIONES:
-Integridad Estructural.
-Permeabilidad selectiva.
-Interacción entre células.
-Reconocer a Antígenos, Células dañadas y extrañas
SU COMPOSICIÓN: Es el Modelo de Mosaico Fluido.
EL MODELO DE MOSAICO FLUIDO fue Desarrollado por Singer y Nicholson, 1972.Evidencias aportadas por la técnica de Congelación-Fractura.
LOS ORGÁNULOS:
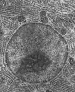
EL NÚCLEO CELULAR:
-Ausentes: Eritrocitos maduros y plaquetas.
-Está formado por: Envoltura ó Membrana nuclear , por el nucleoplasma ó carioplasma que contiene macromoléculas y partículas que participan en la conservación de la célula, por la cromatina Contiene el material genético: ARN m- ARN t- ARN r).y por el nucléolo.
LA CROMATINA:
Es la carga genética localizada en el ADN, formada por proteínas básicas llamadas Histonas y pocas proteínas ácidas. Su condensación forman los Cromosomas, observable durante la mitosis.
HETEROCROMATINA: Molécula de ADN condensada es inactiva, por lo tanto no está en transcripción.
Se observa al Microscopio Óptico.
LA EUCROMATINA:
Molécula de ADN distendida, está en proceso de transcripción.
No se observa al Microscopio Óptico.
CITOPLASMA CELULAR:
Se extiende desde la M:P hasta la envoltura nuclear. La mayor parte es agua. El componente líquido se llama citosol o matriz citoplasmática el cual contiene organitos.
ORGANITOS CITOPLASMATICOS:
-RIBOSOMAS:
-Contienen ARN y proteínas.
-Por lo general se encuentra en acúmulos llamados Polirribosomas o polisomas.
-Presente en todas las células menos en los eritrocitos maduros.
-Puede estar unido al RER y formar parte de él o encontrarse libre en el citoplasma.
RETÍCULO ENDPLASMATICO RUGOSO:
-Principal función síntesis proteica.
-Participa en la producción de los componentes lípidos de la mayor parte de los organitos celulares.
RETÍCULO ENDOPLASMATICO LISO:
-Carece de gránulos ribosómicos.
-Forma tubular o vesicular.
-No participa en la síntesis proteica.
-Es una pequeña región del RER libre de proteínas.
-Presente en cél. Secretorias.
-Actúa en la biosíntesis de hormonas esteroideas.
-Se encuentra en abundancia en las C. Intersticiales de Leydig del testículo. Que secretan testosterona, células de la corteza suprarenal que secretan corticosteroides y c. secretorias de progesterona del cuerpo amarillo del ovario.
-Interviene en la absorción y liberación del calcio.
APARATO DE GOLGI:
-Interviene en la secreción de lípidos y proteínas.
-Se ve como forma de pilas.
-Participa en la síntesis de polisacáridos.
-Participa en la formación de lisosomas.
-Participa en el flujo de membrana, en el transporte y concentración de materiales de secreción y su liberación de las células.
LISOSOMAS:
-Estructura citoplasmática rodeada de membrana q aparece granulosa durante la inactividad pero q adoptan el aspecto de vesículas cuando se activan.
-Participa en la digestión.
Interviene en el mecanismo de defensa celular.
Se clasifican en L.Primarios Cuando no han iniciado el proceso de digestión.
Secundarios cuando ya se ha iniciado
la digestión.
MITOCONDRIAS:
-Principal fuente de energía en forma de ATP.
-Concentra el Calcio.
PEROXISOMAS:
-Se forma en el RER
-No contienen hidrolasas lisosómicas.
-Lugar importante de utilización de oxígeno.
MICROTUBULOS:
-Elementos de sostén de las células.
-En la mitosis forman el huso celular.
CENTRIOLOS:
-Aparecen como bastoncillos cerca del núcleo, formado por 9 tripletes de microtúbulos.
-Pueden reproducirse y formar los cuerpos basales (cinetosomas).
LAMINILLAS ANULARES:
-Son cisternas membranosas, se encuentran en crecimiento rápido como las germinales, embrionario y tumoral.
Se Cree que derivan de la envoltura nuclear.
CITOESQUELETO:
Es un sistema de túbulos y filamentos que mantienen en actividad a las células y le dan forma .
El citoesqueleto es una red de fibras proteicas que ocupa el citoplasma de las células y que mantiene la estructura y la forma de la célula. El citoesqueleto también se encarga de transportar sustancias entre las distintas partes de la célula
FUNCIONES: Conserva la morfología celular y participa en movimientos activos.
INCLUSIONES CITOPLASMATICAS:
-Se consideran componentes no vivientes de las célelulas.
-No poseen actividad metabólica.
-No están fijos en las membranas.
-Las más frecuentes son: Glucógeno-gotitas de grasa- pigmentos y cristales
CICLO CELULAR:
El ciclo celular representa el conjunto de las fases que una célula atraviesa desde el momento de su formación hasta su división en 2 células hijas. Comprende una interface, es decir un estadio en el que la célula lleva a cabo reacciones metabólicas de mantenimiento, y la mitosis propiamente dicha, en la que la célula da origen a 2 células hijas genéticamente idénticas a la madre.
INTERFASE: Es el periodo entre div cel., ocurre la duplicación del ADN, hay síntesis activa proteínas, ARN
– Etapas de la Interfase:
I ETAPA: G1 Presente después de completarse la división celular.
II ETAPA: S Síntesis de ADN.
III ETAPA: G2 Después de completarse la síntesis de ADN. Las actividades metabólicas de las c. disminuyen como preparación para la mitosis.
MITOSIS:
Es el proceso de redistribución del material genético en 2 nuevos núcleos, cada uno de los cuales contiene el mismo Nº y tipo de cromosomas q el núcleo original.
Se divide en 4 etapas: Profase-Metafase-Anafase y telofase.
PROFASE: El par de centríolos empiezan a duplicarse hacia los polos opuestos de las células.
METAFASE: La envoltura nuclear ha desaparecido por completo. Todos los cromosomas se desplazan hacia el centro de la célula con relación al huso y se disponen en la placa ecuatorial.
ANAFASE: Los cromosomas se han dividido y la cromatina de cada par se dirige a un polo de la célula.
TELOFASE: Constricción de la membrana plasmática con la formación de 2 células hijas.
MEIOSIS:
División célular especial que forma a las células sexuales, cuyo número de cromosomas se reduce del diploide al haploide
Se divide en 2: Meiosis I y Meiosis I I
MEIOSIS I
MEIOSIS II se forman 4 células hijas con número haploide de cromosomas y ADN.
ESPERMATOGENESIS:
Espermatogonias por mitosis se diferencian en espermatocitos primarios. 2 divisiones meióticas forman los espermatozoides.
Este proceso se lleva a cabo mediante los mecanismos de mitosis y meiosis con las células germinales del hombre.
OVOGENESIS:
En los ovarios las ovogonias por mitosis se diferencian en ovocitos primarios que por procesos de meiosis van a formar los óvulos.





















Hey ercachuo! If you would like to make your personal feed contain the top trending media and talking points of the whole internet, consider following @coffeebreak and @topicstoday accounts - And welcome to Steem!
Hello, good evening, thanks for the welcome. I will take into account your proposal, in the same way I would like you to follow me and help @ercachuo so I would be informed about the most important Medicine topics.
C:
Welcome ercachuo!
eSteem is the application that improves your experience on Steem. You have full control over your data and content, unlike some apps we don't use our users to promote our application or services.
We have Mobile application for Android and iOS users. We also have developed Surfer Desktop application that helps you to gain new followers and stay connected with your friends, unique features - notifications, bookmarks, favorites, drafts, and more.
We reward our users with encouragement upvotes as well as monthly giveaways rewarding Spotlight top users and active Discord users.
Learn more: https://esteem.app
Join our discord: https://discord.gg/8eHupPq
Welcome to Steemit ercachuo. The official FAQ can be found here and has A LOT of information https://steemit.com/faq.html - Also remember, Steemit is just ONE of the sites built that uses Steem the blockchain. You should also check out DTube and DSound for starters and if you're a gamer, Steem Monsters! There are many other cool apps but I can't list them all here, there's just too many! But I'd also like to mention Steempeak, it's a better blogging platform that has a lot of cool features. Welcome to the blockchain! :) Oh, and if you're interested in creating your own tokens or smart contracts, check Steem engine!
Welcome to Steemit ercachuo. The official FAQ can be found here and has A LOT of information https://steemit.com/faq.html - Also remember, Steemit is just ONE of the sites built that uses Steem the blockchain. You should also check out DTube and DSound for starters and if you're a gamer, Steem Monsters! There are many other cool apps but I can't list them all here, there's just too many! But I'd also like to mention Steempeak, it's a better blogging platform that has a lot of cool features. Welcome to the blockchain! :) Oh, and if you're interested in creating your own tokens or smart contracts, check Steem engine!
Welcome to Steem ercachuo! Partiko is officially the fastest and most popular mobile app for Steem. Unlike other Steem apps, we take 0% cut of your earnings! You can also be rewarded with Partiko Points while using Partiko and exchange Partiko Points for upvotes!
Partiko for Android can be downloaded here on Google Play and the iOS version is available here on the App Store.
If you have more questions, feel free to join our Discord channel and ask @crypto.talk, we're always here to help!
Thank you so much for your interest!
Congratulations @ercachuo! You have completed the following achievement on the Steem blockchain and have been rewarded with new badge(s) :
You can view your badges on your Steem Board and compare to others on the Steem Ranking
If you no longer want to receive notifications, reply to this comment with the word
STOPVote for @Steemitboard as a witness to get one more award and increased upvotes!