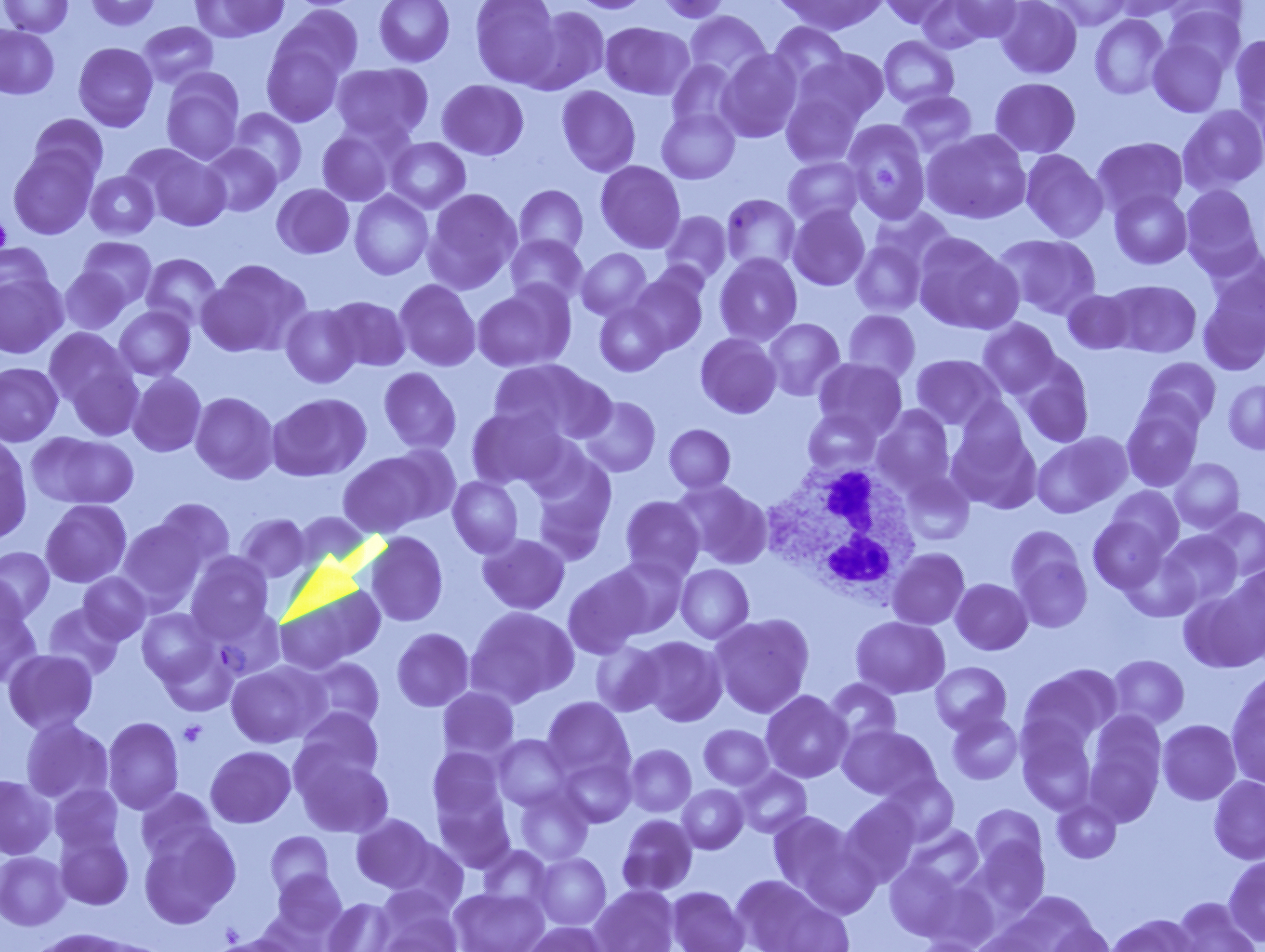
Malaria photosyappering (25)in #pathology • 7 years ago This is a 1000x oil view of a blood smear from man who recently returned from Africa. There are ringed organisms in the red blood cells which are malaria. The patient presented with cyclical fevers. #malaria #africa #blood #parasite
Congratulations @yappering! You have completed the following achievement on the Steem blockchain and have been rewarded with new badge(s) :
You can view your badges on your Steem Board and compare to others on the Steem Ranking
If you no longer want to receive notifications, reply to this comment with the word
STOPDo not miss the last post from @steemitboard:
Vote for @Steemitboard as a witness to get one more award and increased upvotes!