Sercowe aberracje
Embriologia – rozwój serca
Pomiędzy 18 a 19 dniem rozwoju zarodka z mezodermy smugi pierwotnej wywędrowują komórki, które tworzą sznury sercotwórcze. Brzmi to strasznie, ale takie są początki narządu, który pozwala na pompowanie krwi. Sznury sercotwórcze około dnia 20 przekształcają się w cewy sercowe. Oznacza to tylko tyle, że struktura przekształciła się z czegoś, co z definicji nie może mieć w światła, w coś co te światło posiada. Zatem 20 dnia życia zyskujemy element budowy, który da się wypełnić płynem. Warto zwrócić uwagę na fakt, że cewy są dwie, a serce jedno. Nietrudno domyślić się, że te dwie struktury ulegną połączeniu. Ma to miejsce w 22 dniu rozwoju, kiedy to podczas fałdowania zarodka dochodzi do zbliżenia dwóch cew do siebie i zlania w pojedynczą strukturę. Taka fuzja jest impulsem dla komórek mezodermy do różnicowania się w nasierdzie, mięsień sercowy oraz wsierdzie.
Cewa sercowa znajduje się w worku osierdziowym, który również powstał podczas fałdowania się zarodka. Worek osierdziowy nie jest nadmiernie rozciągliwą strukturą, a komórek cewy sercowej nieustannie przybywa. W ten sposób powstaje narząd, w którym możemy wyróżnić opuszkę, przedsionek pierwotny i komorę pierwotną. Wypełniają one ciasną przestrzeń, co powoduje, że wraz z czasem poszczególne elementy cewy zmieniają względem siebie położenie. 28 dnia mamy już na zewnątrz obrysy serca czterojamowego, chociaż w środku jeszcze nie oddzieliły się od siebie przedsionki i komory (Verzi M., P., et al., 2005)1.

Ryc. 1
Wyodrębnienie przedsionka prawego i lewego następuje w wyniku rozwoju dwóch przegród. Pierwsza z nich zwana przegrodą pierwotną wyrasta jakby z „podłogi” pierwotnego przedsionka. Natomiast przegroda wtórna z „sufitu”. Pomiędzy nimi znajduje się otwór owalny, który umożliwia przepływ krwi z ominięciem łożyska płucnego. Rozwój przegrody międzykomorowej odbywa się analogicznie. Z „podłogi” komory rosną w górę mięśnie wewnątrzkomorowe. Natomiast z „sufitu” wzrasta cienka przegroda błoniasta pochodząca z fałdu przedsionkowo-komorowego. Połączenie się tych dwóch elementów da szczelną przegrodę międzykomorową. Wszystkie te procesy powinny dokonać się do końca 7 tygodnia rozwoju.
Nie zawsze zgodnie z planem
Połączenie się ze sobą przegrody błoniastej z grzbietem wzrastających od dołu mięśni wewnątrzsercowych powinno dać przegrodę międzykomorową. Niestety nie zawsze się tak dzieje. Rozwój przegrody błoniastej następuje najpóźniej w tej układance. Właśnie ten element jest najbardziej wrażliwy na zakłócenia. Toteż nie powinno dziwić, że ubytek w przegrodzie międzykomorowej (ventricular septal defect - VSD) należy do najczęściej występującej wady wrodzonej serca.
Podsumowując to z jaką sytuacją mamy do czynienie należy powiedzieć, że mamy noworodka, który ma dziurę w sercu. Ubytek ten zapewnia komunikacje między prawą komorą a lewą komorą serca. W sposób oczywisty prowadzi to do mieszania się krwi, która spływa z obwodu z tą, która została utlenowana w płucach i przygotowana do wysyłania na obwód systemowy. Kierunek mieszania się krwi zależy od różnicy ciśnień pomiędzy jamami. W prawej komorze panuje niskie ciśnienie. Natomiast w lewej wysokie. Zatem kierunek przepływu krwi wiedzie od lewej komory do prawej.

Ryc. 2
Objawy kliniczne będą zależne od wielkości otworu w przegrodzie międzykomorowej. Mały otwór może być bezobjawowy. Dodatkowo, może sam się zamknąć wraz z rozwojem dziecka. Dzieje się tak w około 50% przypadków. Duże otwory stanowią większy problem, bo jest większy przeciek.
Klasycznym objawem powinien być szmer, który da się wysłuchać przez stetoskop. Głośność tego dźwięku zależna jest od różnicy ciśnień między komorami, objętością krwi oraz odległością od miejsca powstania przepływu turbulentnego do miejsca osłuchiwania. Nie powinien dziwić więc fakt, że taki otwór może nie zostać zdiagnozowany na oddziale neonatologicznym. Możliwie, że wprawiłem was w lekką konsternację. Dlatego też dalej wyjaśniając należy dodać, że przepływ płucny zaraz po urodzeniu jest większy od przepływu systemowego. Dzieje się tak dlatego, że krew musi wypełnić łożysko, które nie było używane w życiu płodowym. Z czasem dochodzi do odwrócenia tych stosunków. Dopiero, gdy różnica będzie wyraźna może powstać zjawisko szmeru. Oczywiście otwór w przegrodzie byłby widoczny w badaniu ECHO, tylko ktoś musi je zlecić, co powoli wchodzi do rutynowego postepowania.
Ryc. 3
Jest co leczyć?
Można by powiedzieć, że omawiana patologia to w sumie takie nic. Ot otworek, który trochę szumi. Przy tym wszystkim dziecko jest różowe, chce jeść i krzyczy. Wygląda na zdrowe. Powstaje, więc pytanie, czy jest jakiś cel w medycznej interwencji, skoro 50% VSD ulega spontanicznemu zamknięciu? Otóż sens jest (Gabriel H., M., et al., 2002)2.
Jeżeli zignorujemy problem, to przez jakiś czas nic nie będzie wzbudzało niepokoju. Infekcja jedna, druga, trzecia. Niby to normalne, bo dzieci chorują. Dołączmy do tego spastyczność oskrzeli, niedodmę w segmentach podstawnych oraz brak przybierania na masie. Niby można to wytłumaczyć infekcją. Dziecko „ma bakterię”, więc nie je. Nie je, więc nie przybiera na masie. Nawet jeżeli ktoś chce w POZ wysłuchać szmer, który by wskazywał na winowajcę problemu to go już nie usłyszy. Okazja została przegapiona.
Krok po kroku do zespołu Eisenmengera
Jest obecne VSD, które warunkuje przepływ krwi z lewej strony na prawą. Przekłada się to na większe obciążenie lewej komory, która musi wykonać większą pracę, aby wysłać zwiększoną objętość krwi na obwód. Jeżeli dojdzie do przełamania możliwości adaptacyjnych (przerost) to dojdzie do niewydolności lewokomorowej. Oznaczać to będzie, że jakaś część krwi będzie zalegać w łożysku płucnym. Oczywiście naczynia płucne zareagują na obecność tej dodatkowej krwi i postarają się jej pozbyć wyciskają ją do niewydolnej lewej części serca. Ciągła potrzeba obkurczania naczyń tętniczych pociąga za sobą adaptacje do tego wysiłku. Przystosowanie polega na przeroście mięśniówki, co nie poprawia sytuacji. Kolejnym etapem jest włóknienie, a ten proces jest już nieodwracalny. Zwłókniałe naczynia jak i te obkurczone sprawiają, że prawej komorze serca trudno jest przepompować krew przez łożysko płucne do lewego przedsionka. Taki stan nazywamy nadciśnieniem płucnym. Wszystkie te zmiany doprowadzają do odwrócenia kierunku przecieku. Teraz krew płynie przez otwór z prawej strony na lewą. Większa objętość krwi omija krążenie płucne, czyli pozostaje odtlenowana. Niska zwartość tlenu we krwi obwodowej manifestuje się w postaci sinicy (Julien I., E., et al., 2004)3.

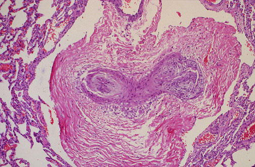
Ryc. 4 Wyraźna przebudowa naczynia tętniczego wyrażona do tego stopnia, że jego światło przestało być dostrzegalne. Obecność takich zmian sugeruje obecność utrwalonego nadciśnienia płucnego, co znacząco pogarsza rokowanie.
Sine dziecko rzuca się w oczy, ale wtedy jest już zdecydowanie za późno na spektakularną poprawę stanu zdrowia, bo nie ma sposobu na cofnięcie zmian włóknistych w obrębie miąższu płucnego.
Źródła:
1(Verzi M., P., et al., 2005)
2(Gabriel H., M., et al., 2002)
3(Julien I., E., et al., 2004)
Merry Christmas, enjoy the vote!
Twój post został podbity głosem @sp-group. Kurator @julietlucy.